
发布时间:2025-03-21 12:56:41阅读次数:83次

每年的3月21日是世界唐氏综合征日,这一天旨在提高公众对唐氏综合征的认知,呼吁社会关注和善待唐氏综合征患者。唐氏综合征是一种由21号染色体三体变异引起的疾病,患者常被称为“唐宝宝”,他们虽然面临智力障碍和发育迟缓的挑战,但依然对生活充满热爱和希望。
为提高全社会对唐氏综合症的防治意识,营造出适宜唐氏儿健康成长的良好社会支持环境。我中心老师和志愿者组织部分儿童开展“世界唐氏综合症日”健康宣教活动,通过散发宣传资料等多种方式,向周边居民深入浅出地科普了唐氏综合症的相关知识,重点讲解了如何早期发现和诊断唐氏综合症,以及产前筛查的重要性。



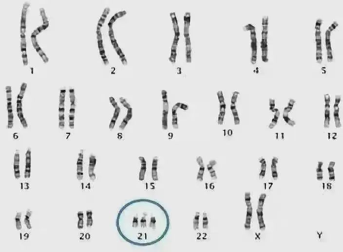
唐氏综合征又名21-三体综合征,是由于第21号染色体多了一条而导致的遗传性疾病。患者通常表现为智力低下、特殊面容(如眼距宽、鼻梁低平等)以及多发畸形(如先天性心脏病等)。

1. 避免高龄生育,做好孕检,早期筛查,优生优育。
2. 避免接触致畸物质:备孕及怀孕期间,定要避开接触放射线,农药、苯等有害化学品,一些致畸药物,如磺胺类药品。
3. 避开病毒感染,如乙肝病毒等。

1. 到目前为止,唐氏综合征尚不能治愈,只能改善,家长要对患儿进行长期耐心的教育,对存在的一些症状和并发症进行康复锻炼。
2. 虽然没有行之有效的治疗方法,但是随着医疗技术的进步,唐宝宝的生活质量有了显著提高。
3. 对于已经生育了唐宝宝的父母,最需要做的就是自我心理调节。
4. 同时提高对唐氏综合征的认识,接收唐氏综合征无法被治愈但预后在不断改善的事实,给予唐宝宝更多的关系和爱护
5. 到正规机构进行相应的康复训练和特殊教育,让孩子增强自理能力,更好地融入社会
为使宝宝可以更好的锻炼肌张力可以做做口唇操,具体如下:
·用手轻点整个面部,给脸部整体肌肉放松。
·用拇指和食指捏上唇,并向下提拉,反复操作。
·反复将下唇覆盖到上唇上。
·将左右手拇指和食指放到孩子嘴角,帮助孩子做嘟嘴和咧嘴表情,反复操作。
·将食指放到孩子嘴内,用拇指从远离嘴部不同的方向向嘴部划动,反复操作后,揉捏脸部。
·最后一步,用拇指从嘴部、下颚向太阳穴方向提拉脸部。

关爱折翼的天使唐宝宝
“唐宝宝们是可爱的天使,多出来的染色体像一条小小的尾巴,唐宝宝们走得慢了一些,但是不影响他们的绽放。